Policial alega que o animal teria avançado em sua direção, já tutor nega.
Uma cachorra sem raça definida, de porte médio, perdeu a visão de um olho após ser baleada pelo policial militar Ricardo Manoel Brito Messa, de 47 anos, no bairro Jardim Mato Grosso, em Rondonópolis, nessa sexta-feira (25). Câmeras do circuito de segurança registraram o momento da ocorrência. (video abaixo)
Nas imagens, é possível ver a cachorra passeando com o tutor Claudiney Vedoveto, de 60 anos, quando ela vai em direção ao PM que se aproxima carregando, aparentemente, uma mochila. Na sequência, ele saca a arma e atira contra o animal. Uma outra câmera registrou o tutor carregando no colo a cachorra depois de ser baleada.
A reportagem, a Polícia Militar informou que o caso está sendo investigado.
Conforme o boletim de ocorrência, o próprio PM acionou a polícia e relatou que estava indo a pé para casa, quando a cachorra tentou avançar contra ele. Nesse momento, ele sacou a arma e disparou contra o animal, atingindo o olho.
Quando a equipe policial chegou no local, uma testemunha informou que o tutor havia levado a cachorra ao veterinário. Minutos depois de deixar o animal na clínica, ele retornou ao local e disse à polícia que gostaria de registrar um boletim.
Claudiney negou que a cachorra tivesse avançado em Ricardo. Tanto o tutor, quanto o PM foram encaminhados para a delegacia para prestar esclarecimentos.
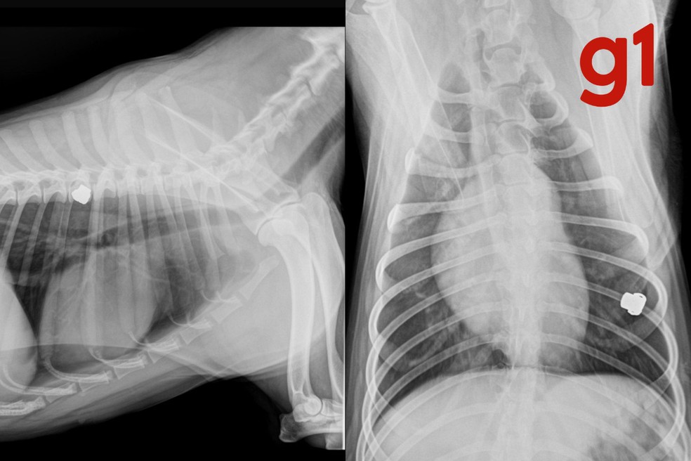
A clínica veterinária informou Claudiney de que a cachorra não corre risco de morte, no entanto perdeu a visão do olho atingido pelo tiro. Em imagens de raio-x, é possível ver que a bala ficou alojada próximo à costela do animal.
/i.s3.glbimg.com/v1/AUTH_59edd422c0c84a879bd37670ae4f538a/internal_photos/bs/2025/A/p/QPhcsgRYy7BaMsHJTbuA/jardes-g1-6-.png)




